This text-based course is a written transcript of the course, "Orofacial Myofunctional Disorders: The Basics for SLPs", presented by Marsha Lee-White on March 7, 2011.
Click Here to View Supplemental Handouts
This text is being provided in a rough draft format. Communication Access Realtime Translation is provided in order to facilitate communication accessibility and may not be a totally verbatim record of the proceedings.
>> Amy Hansen: Good afternoon, everyone. Welcome to today's expert seminar entitled, "Orofacial Myofunctional Disorders: The Basics for SLPs", presented today by Marsha Lee White. Marsha Lee White is a speech language pathologist at the Cincinnati Children's Medical Center providing services at the Mason neighborhood location. Marsha is a certified orofacial myologist through the International Association of Orofacial Myology and a certified member of ASHA. She has been providing clinical services to patients with orofacial myofunctional disorders and tongue thrust for approximately 20 years and has presented on this topic at the local and State level. So welcome, Marsha, and thank you for sharing your expertise for with us today.
>> Marsha: Thank you. I'm looking forward to it. Let's go ahead and jump into this.
Structure Development
I want to talk a bit about structure development just so that we're all on the same page. When we're looking at this type of a disorder, keep in mind that the tongue is adult size by the time the child is about 8 years of age. We still have some maxillary and also some mandibular growth but the maxilla is adult size by age 8 with some residual growth occurring around age 12. Once children go through puberty there is a little bit of growth until the age of 20.
Mandibular growth is about the same as the maxillary growth, although usually the mandible slows down by about 8 to 10 years of age. It slows down a little bit earlier than the maxilla but again growth continues up into the early 20s.
Tonsils and adenoids are of concern when we're looking at this type of a disorder. When we're looking at tonsils and adenoids, they are maximum size by the time children are somewhere between 9 and 12 years of age and after that point in time the tissue starts to atrophy. Usually by about the age of 20, for most people, we don't see tonsil tissues any longer. Sometimes we may see it but for the most part it is small enough that it is really not an issue.
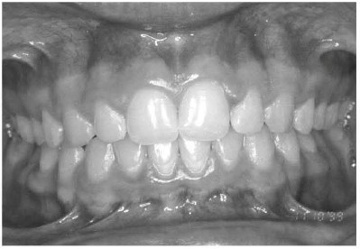
Typical Occlusion - Class I
Below is an image of a typical occlusion.
Image 1. Typical Occlusion
So when we're looking at patients, we're looking at those beautiful smiles. This is what we would like to see. We would like to see the upper teeth covering the lower teeth by just a little bit, about one third of the tooth. We shouldn't see a lot of spaces in between the teeth either between two teeth that are side by side or top and bottom teeth. Any time we see extra spaces in teeth, that's a bit of a cause for concern and we try to figure out what else is going on there. But this is really what we would like to be seeing. Again, the below image is a normal occlusion - a beautiful smile that we would like to be seeing with these types of patients.
Orofacial Myofunctional Disorders: The Basics for SLPs
March 18, 2011
Related Courses
1
https://www.speechpathology.com/slp-ceus/course/ripple-effect-stuttering-community-based-9217
The Ripple Effect of Stuttering: A Community-Based Approach
This is Part 2 of a four-part series. The stuttering experience has a ripple effect that extends far beyond the child who stutters. Parents, teachers, peers, and others must possess both knowledge and skills to best support children who stutter. This course will highlight new clinical tools and resources to provide a community-based treatment approach for stuttering. (Part 1 - Course 9278, Part 3 - Course 9301, Part 4 - Course 9304)
auditory, textual, visual
129
USD
Subscription
Unlimited COURSE Access for $129/year
OnlineOnly
SpeechPathology.com
www.speechpathology.com
The Ripple Effect of Stuttering: A Community-Based Approach
This is Part 2 of a four-part series. The stuttering experience has a ripple effect that extends far beyond the child who stutters. Parents, teachers, peers, and others must possess both knowledge and skills to best support children who stutter. This course will highlight new clinical tools and resources to provide a community-based treatment approach for stuttering. (Part 1 - Course 9278, Part 3 - Course 9301, Part 4 - Course 9304)
9217
Online
PT120M
The Ripple Effect of Stuttering: A Community-Based Approach
Presented by Craig Coleman, MA, CCC-SLP, BCS-F, ASHA Fellow, Mary Weidner, PhD, CCC-SLP
Course: #9217Level: Intermediate2 Hours
ASHA/0.2 Intermediate, Professional; Calif SLPAB/2.0; IACET/0.2; Kansas LTS-S1370/2.0; SAC/2.0
This is Part 2 of a four-part series. The stuttering experience has a ripple effect that extends far beyond the child who stutters. Parents, teachers, peers, and others must possess both knowledge and skills to best support children who stutter. This course will highlight new clinical tools and resources to provide a community-based treatment approach for stuttering. (Part 1 - Course 9278, Part 3 - Course 9301, Part 4 - Course 9304)
2
https://www.speechpathology.com/slp-ceus/course/20q-infection-control-strategies-for-9729
20Q: Infection Control Strategies for SLPs
Speech-language pathologists are expected by policy authorities to apply appropriate measures to protect patients, co-workers and themselves in clinical situations that may expose individuals to infectious microbes. This article provides practical guidelines for implementing infection control principles within the context of the COVID-19 pandemic, including discussion of personal protective equipment (PPE) and disinfecting and cleaning products.
textual, visual
129
USD
Subscription
Unlimited COURSE Access for $129/year
OnlineOnly
SpeechPathology.com
www.speechpathology.com
20Q: Infection Control Strategies for SLPs
Speech-language pathologists are expected by policy authorities to apply appropriate measures to protect patients, co-workers and themselves in clinical situations that may expose individuals to infectious microbes. This article provides practical guidelines for implementing infection control principles within the context of the COVID-19 pandemic, including discussion of personal protective equipment (PPE) and disinfecting and cleaning products.
9729
Online
PT60M
20Q: Infection Control Strategies for SLPs
Presented by A.U. Bankaitis Smith, PhD
Course: #9729Level: Intermediate1 Hour
ASHA/0.1 Intermediate, Professional; Calif SLPAB/1.0; IACET/0.1; Kansas LTS-S1370/1.0; SAC/1.0
Speech-language pathologists are expected by policy authorities to apply appropriate measures to protect patients, co-workers and themselves in clinical situations that may expose individuals to infectious microbes. This article provides practical guidelines for implementing infection control principles within the context of the COVID-19 pandemic, including discussion of personal protective equipment (PPE) and disinfecting and cleaning products.
3
https://www.speechpathology.com/slp-ceus/course/thickened-liquids-in-clinical-practice-10497
Thickened Liquids in Clinical Practice: The Plot “Thickens”
Clinicians who utilize thickened liquids in their clinical practice are aware of their benefits, but what about the risks and contraindications? Advantages and disadvantages of thickened liquids are reviewed in this course with a focus on clinical outcomes, including impacts on medication administration, lung health, and hydration. Product types are evaluated to facilitate appropriate choices for individual clients.
auditory, textual, visual
129
USD
Subscription
Unlimited COURSE Access for $129/year
OnlineOnly
SpeechPathology.com
www.speechpathology.com
Thickened Liquids in Clinical Practice: The Plot “Thickens”
Clinicians who utilize thickened liquids in their clinical practice are aware of their benefits, but what about the risks and contraindications? Advantages and disadvantages of thickened liquids are reviewed in this course with a focus on clinical outcomes, including impacts on medication administration, lung health, and hydration. Product types are evaluated to facilitate appropriate choices for individual clients.
10497
Online
PT60M
Thickened Liquids in Clinical Practice: The Plot “Thickens”
Presented by Angela Mansolillo, MA, CCC-SLP, BCS-S
Course: #10497Level: Intermediate1 Hour
ASHA/0.1 Intermediate, Professional; Calif SLPAB/1.0; IACET/0.1; Kansas LTS-S1370/1.0; SAC/1.0
Clinicians who utilize thickened liquids in their clinical practice are aware of their benefits, but what about the risks and contraindications? Advantages and disadvantages of thickened liquids are reviewed in this course with a focus on clinical outcomes, including impacts on medication administration, lung health, and hydration. Product types are evaluated to facilitate appropriate choices for individual clients.
4
https://www.speechpathology.com/slp-ceus/course/slp-in-nicu-overview-11267
SLP in the NICU: An Overview
This course provides an introductory overview of Speech-Language Pathology services in the Neonatal Intensive Care Unit (NICU), including the unique environment, the SLP’s role, and key components of neonatal care. Topics include cue-based and supportive feeding strategies, instrumental assessments, and approaches for empowering and supporting parents and caregivers.
auditory, textual, visual
129
USD
Subscription
Unlimited COURSE Access for $129/year
OnlineOnly
SpeechPathology.com
www.speechpathology.com
SLP in the NICU: An Overview
This course provides an introductory overview of Speech-Language Pathology services in the Neonatal Intensive Care Unit (NICU), including the unique environment, the SLP’s role, and key components of neonatal care. Topics include cue-based and supportive feeding strategies, instrumental assessments, and approaches for empowering and supporting parents and caregivers.
11267
Online
PT60M
SLP in the NICU: An Overview
Presented by Anna Manilla, MS, CCC-SLP, CLC
Course: #11267Level: Introductory1 Hour
ASHA/0.1 Introductory, Professional; Calif SLPAB/1.0; IACET/0.1; IL EITP/1.0; Kansas LTS-S1370/1.0; SAC/1.0
This course provides an introductory overview of Speech-Language Pathology services in the Neonatal Intensive Care Unit (NICU), including the unique environment, the SLP’s role, and key components of neonatal care. Topics include cue-based and supportive feeding strategies, instrumental assessments, and approaches for empowering and supporting parents and caregivers.
5
https://www.speechpathology.com/slp-ceus/course/dysphagia-in-neurodegenerative-disease-9732
Dysphagia in Neurodegenerative Disease
Dysphagia is common in individuals with amyotrophic lateral sclerosis (ALS) and Parkinson’s disease. This course discusses the underlying pathophysiology and appropriate treatment programs for each disease, as well as use of alternate methods of nutrition/hydration.
auditory, textual, visual
129
USD
Subscription
Unlimited COURSE Access for $129/year
OnlineOnly
SpeechPathology.com
www.speechpathology.com
Dysphagia in Neurodegenerative Disease
Dysphagia is common in individuals with amyotrophic lateral sclerosis (ALS) and Parkinson’s disease. This course discusses the underlying pathophysiology and appropriate treatment programs for each disease, as well as use of alternate methods of nutrition/hydration.
9732
Online
PT60M
Dysphagia in Neurodegenerative Disease
Presented by Debra M. Suiter, PhD, CCC-SLP, BCS-S
Course: #9732Level: Intermediate1 Hour
ASHA/0.1 Intermediate, Professional; Calif SLPAB/1.0; IACET/0.1; Kansas LTS-S1370/1.0; SAC/1.0
Dysphagia is common in individuals with amyotrophic lateral sclerosis (ALS) and Parkinson’s disease. This course discusses the underlying pathophysiology and appropriate treatment programs for each disease, as well as use of alternate methods of nutrition/hydration.
